MEDizzy
MEDizzy
Zunaira saleh
Zunaira salehalmost 2 years ago
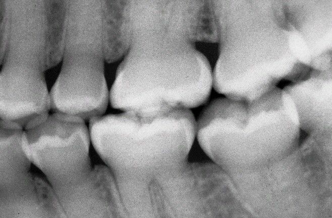
 Dentinogenesis Imperfecta (DGI).

 Dentinogenesis Imperfecta (DGI).

 Radiograph of dentition exhibiting bulbous crowns, cervical constriction, and obliterated pulp canals and chambers. 

0
Other commentsSign in to post comments. You don't have an account? Sign up now!

Recent MCQs















Show more MCQs

Recent flashcard sets















Show more flashcards