MEDizzy
MEDizzy
Zunaira saleh
Zunaira saleh9 months ago
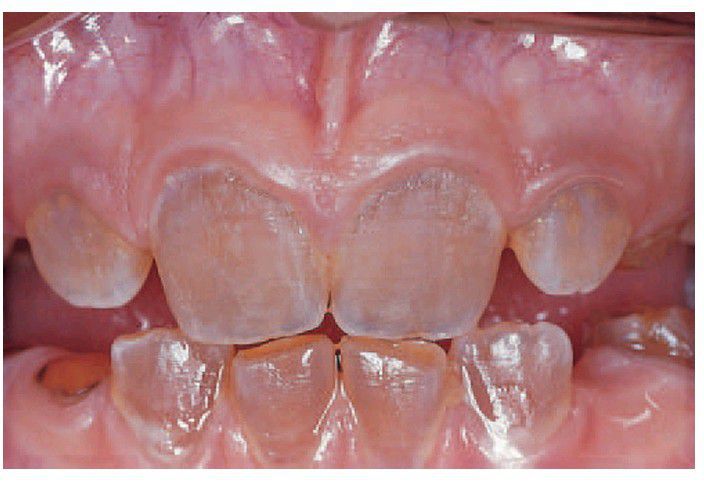
Dentinogenesis imperfecta

Dentinogenesis imperfecta

Dentinogenesis imperfecta showing the grey-brown translucent appearance of the teeth which are of normal morphology.

0
Other commentsSign in to post comments. You don't have an account? Sign up now!

Recent MCQs















Show more MCQs

Recent flashcard sets















Show more flashcards