MEDizzy
MEDizzy
Zunaira saleh
Zunaira saleh10 months ago
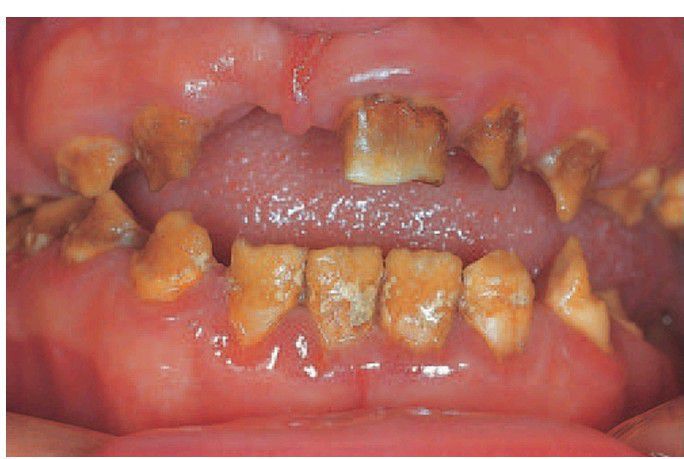
Amelogenesis imperfecta

Amelogenesis imperfecta

Amelogenesis imperfecta, indeterminate type. Some cases, such as this, are diffi cult to classify but are clearly inherited, as shown by their long family history.

0
Other commentsSign in to post comments. You don't have an account? Sign up now!

Recent MCQs















Show more MCQs

Recent flashcard sets















Show more flashcards