MEDizzy
MEDizzy
Zunaira saleh
Zunaira saleh9 months ago
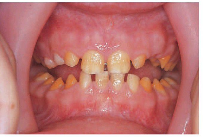
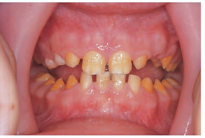
Amelogenesis imperfecta

Amelogenesis imperfecta

Amelogenesis imperfecta, hypomaturation type. Tooth morphology is normal but there are opaque white and discoloured patches.

0
Other commentsSign in to post comments. You don't have an account? Sign up now!

Recent MCQs















Show more MCQs

Recent flashcard sets















Show more flashcards