MEDizzy
MEDizzy
Zunaira saleh
Zunaira saleh9 months ago
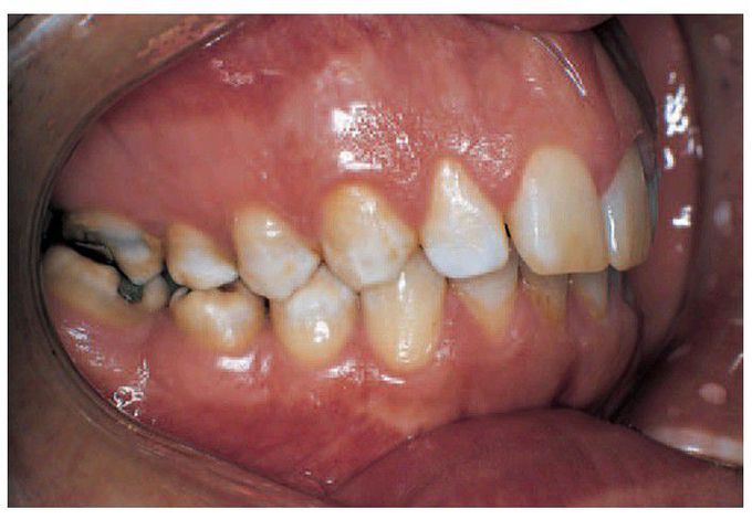
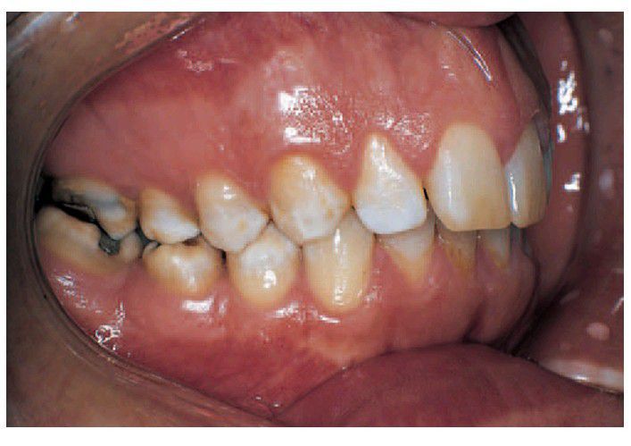
Amelogenesis imperfecta

Amelogenesis imperfecta

Amelogenesis imperfecta, one of the several hypomaturation types. In this form there are opaque white fl ecks and patches affecting the occlusal half of the tooth surface.

0
Other commentsSign in to post comments. You don't have an account? Sign up now!

Recent MCQs















Show more MCQs

Recent flashcard sets















Show more flashcards