Feed
Library
Learning
Discuss
Leaderboard
Journal
Sign in
Login
Sign up
Sign in
Feed
Library
Learning
Discuss
Leaderboard
Journal
Zunaira saleh
almost 2 years ago
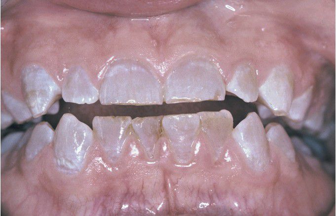
Dentinogenesis Imperfecta (DGI).
Dentition exhibiting diffuse brownish discoloration and slight translucence.
Oralpathology
Imperfecta
Dentinogenesis
0
0
0
Other comments
Sign in
to post comments. You don't have an account?
Sign up now!
Related posts
Amelogenesis imperfecta
Amelogenesis imperfecta
Amelogenesis imperfecta
Amelogenesis imperfecta, hypocalcifi ed type
Dentinogenesis imperfecta
Dentinogenesis imperfecta.
Dentinogenesis imperfecta
Microscopic appearance of dentinogenesis imperfecta
Osteogenesis imperfecta
Osteogenesis imperfecta
Recent MCQs
Show more MCQs
Recent flashcard sets
Show more flashcards
Feed
Learn
Add
Search
Discuss