
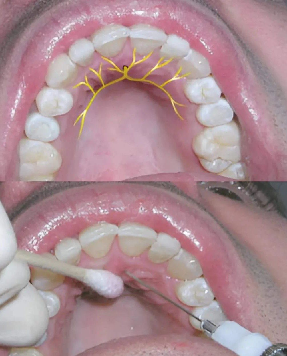
Blocking the nasopalatine nerve anesthetizes the palatal tissues of the six anterior teeth. If the needle is carried into the canal, it is possible to anesthetize the six anterior teeth completely. However, this technique is painful and is not routinely used before operative procedures.