
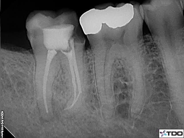
Instrument separation in the root canal is one of the most common procedural mistakes encountered during endodontic therapy. Instrument separation happens all the time, not just with students and general practitioners, but even with professional and seasoned clinicians, despite taking all precautions.