
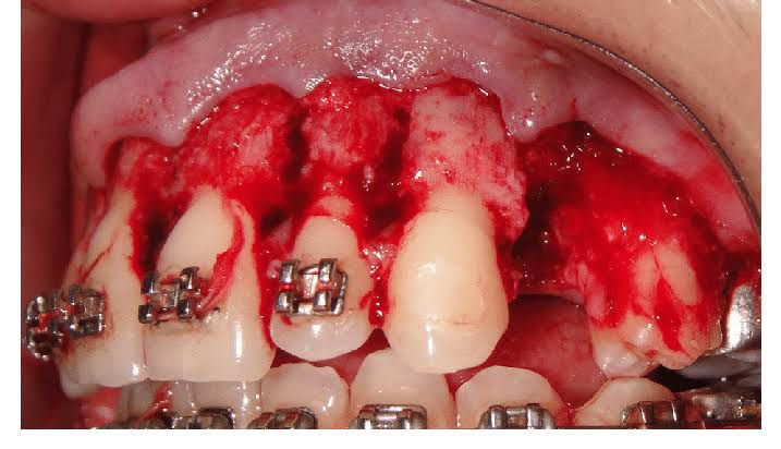
An ostectomy is a procedure involving the removal of bone. Examples include: femoral head ostectomy Rib removal In dentistry, ostectomy refers specifically to the removal of bone surrounding a tooth in an attempt to eliminate an adjacent periodontal pocket.