
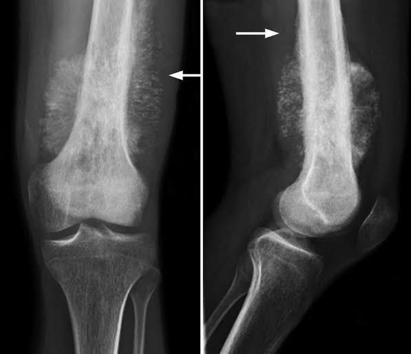
Osteosarcoma is a type of bone cancer that begins in the cells that form bones. Osteosarcoma is most often found in the long bones — more often the legs, but sometimes the arms — but it can start in any bone. In very rare instances, it occurs in soft tissue outside the bone.