Feed
Library
Learning
Discuss
Leaderboard
Journal
Sign in
Login
Sign up
Sign in
Feed
Library
Learning
Discuss
Leaderboard
Journal
Sheeza Basharat
about 3 years ago
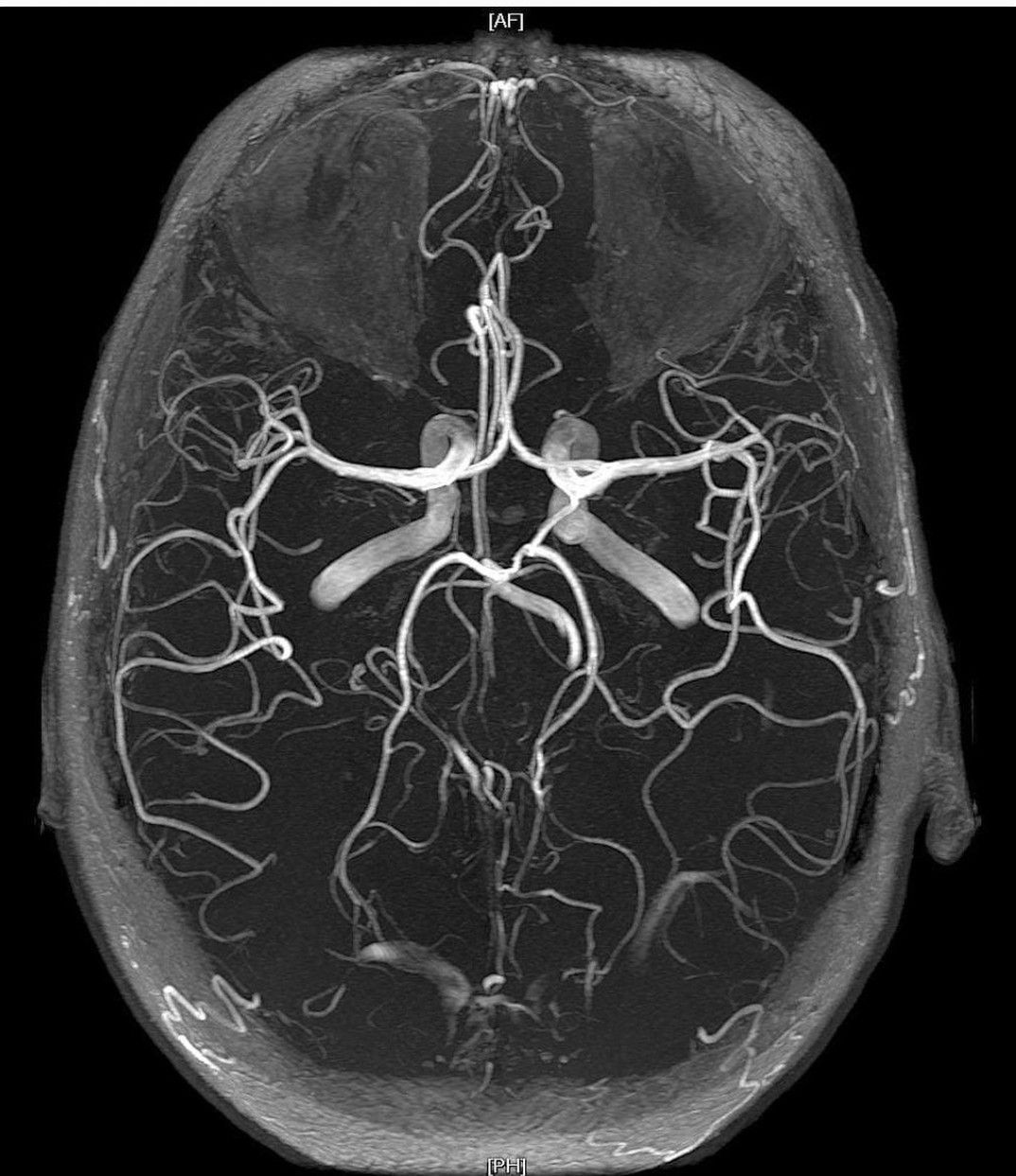
MRA of Brain
Magnetic resonance angiography (MRA) of the brain.
General
Brain
Neurology
Mra
0
0
2
Other comments
Sign in
to post comments. You don't have an account?
Sign up now!
Related posts
Trigeminal Nerve
Chickenpox Vs Measles
Cord Prolapse
Key Aspects of Cord Prolapse
Cord Prolapse- Types
The Nucleus Gigantocellularis
Furosemide Dosing Protocol
Peripartum Cardiomyopathy
Bitechchain Review - Is Bitechchain Scam Or legit?
Prestigio Marketdex Review - Can Beginners Profit With Prestigio Marketdex? Expert Insights
Recent MCQs
Show more MCQs
Recent flashcard sets
Show more flashcards
Feed
Learn
Add
Search
Discuss