
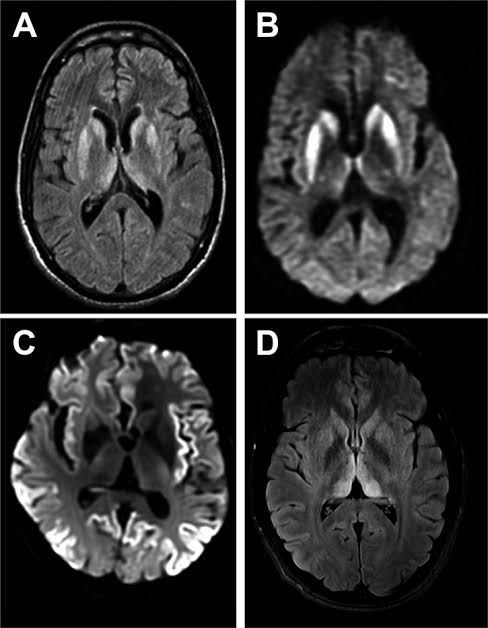
Classic CJD is a human prion disease. It is a neurodegenerative disorder with characteristic clinical and diagnostic features. This disease is rapidly progressive and always fatal. Infection with this disease leads to death usually within 1 year of onset of illness