
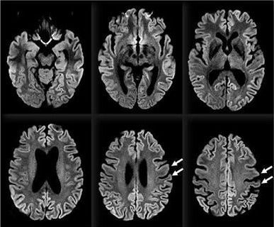
It is most common prion disease but a very rare form of dementia. CJD is among transmissible spongiform encephalopathies, all of which is characterised by spongy degeneration, neuronal loss and astrocytic proliferation. In CJD an abnormal protease resistant prion protein accumulates in brain. It causes subacute dementia with ataxia and myoclonic jerks. New variant CJD (mad cow disease) is more slowly progressing seen in younger adults after eating contaminated beef. CJD's rapid progression and presence of myoclonus distinguish it from other dementias. Diagnosis is suggested by clinicak features. Increased levels of CSF and tau proteins indicate rapid destruction of brain neurons. MRI and EEG may be helpful. Specimens should be handled with precaution to prevent transmission. There is currently no effective treatment. Patients die within 1 year of transmission.