MEDizzy
MEDizzy
Hunain
Hunainover 3 years ago
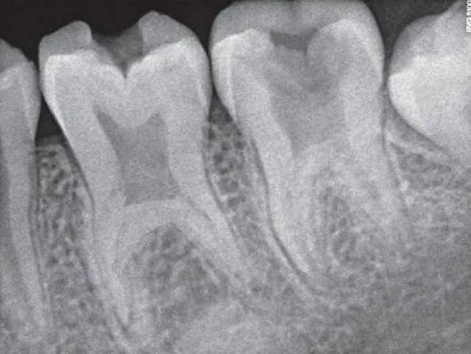
Taurodontism

Taurodontism

Taurodontism is a developmental disturbance of a tooth in which body is enlarged at the expense of the roots. An enlarged pulp chamber, apical displacement of the pulpal floor and lack of constriction at the cementoenamel junction are the characteristic features. It appears most frequently as an isolated anomaly.

0
Other commentsSign in to post comments. You don't have an account? Sign up now!

Recent MCQs















Show more MCQs

Recent flashcard sets















Show more flashcards