Feed
Library
Learning
Discuss
Leaderboard
Journal
Sign in
Login
Sign up
Sign in
Feed
Library
Learning
Discuss
Leaderboard
Journal
Zunaira saleh
10 months ago
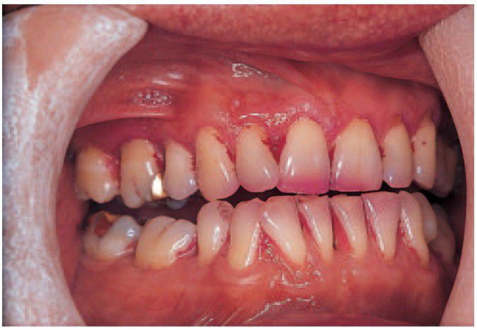
The effects of tooth brushing in the same patient.
Plaque remains interdentally in most areas, explaining why gingivitis is often localised here
Tooth
Effects
Brush
0
0
0
Other comments
Sign in
to post comments. You don't have an account?
Sign up now!
Related posts
Uses of lower cow horn forceps
Warwick james elevator
Principle of routine exodontia
Sequela of impacted teeth
Maxillary 3rd molar
Tooth and dental implant
Turner tooth
Shell tooth.
Overlooked tooth trouble
Mixed pattern tooth loss.
Recent MCQs
Show more MCQs
Recent flashcard sets
Show more flashcards
Feed
Learn
Add
Search
Discuss