MEDizzy
MEDizzy
Zunaira saleh
Zunaira saleh10 months ago
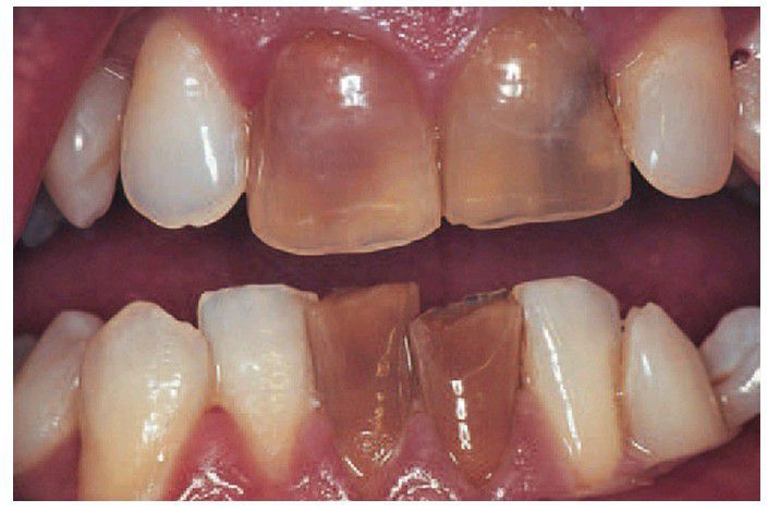
Non vital incisor teeth

Non vital incisor teeth

Non-vital incisor teeth, in this case as a result of trauma. Haemorrhage and products of autolysis of the pulp discolour the dentine and darken the teeth.

0
Other commentsSign in to post comments. You don't have an account? Sign up now!

Recent MCQs















Show more MCQs

Recent flashcard sets















Show more flashcards