
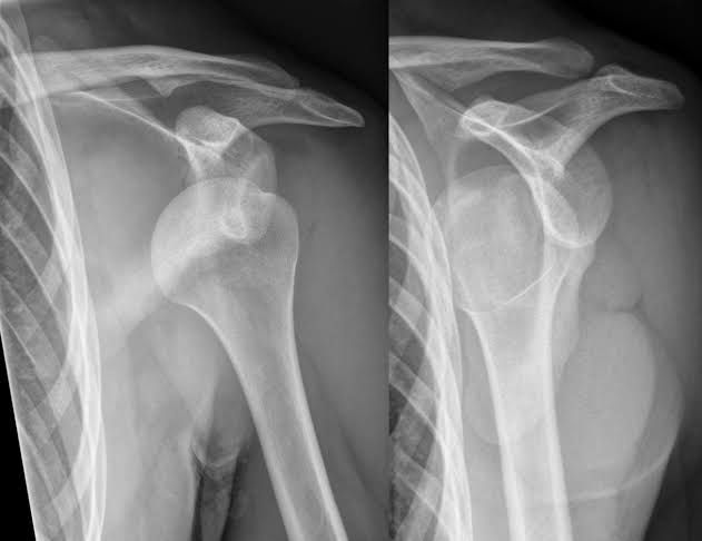
A dislocated shoulder is an injury in which your upper arm bone pops out of the cup-shaped socket that's part of your shoulder blade. The shoulder is the body's most mobile joint, which makes it susceptible to dislocation. If you suspect a dislocated shoulder, seek prompt medical attention.