
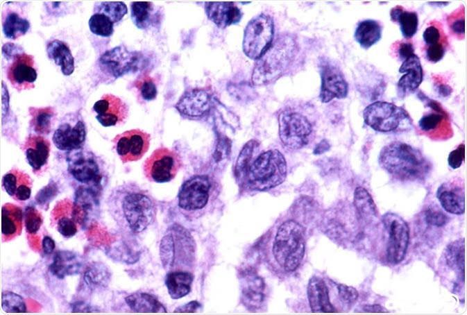
Langerhans cell histiocytosis (LCH) is a rare disease that begins in LCH cells. LCH cells are a type of dendritic cell that normally helps the body fight infection. Sometimes mutations (changes) develop in genes that control how dendritic cells function. These include mutations of the BRAF, MAP2K1, RAS, and ARAF genes.