MEDizzy
MEDizzy
Zunaira saleh
Zunaira saleh8 months ago
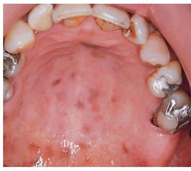
Peutz–Jehgers syndrome.

Peutz–Jehgers syndrome.

There are multiple fl at, pigmented patches on the palate. Those on the lips are most characteristic but fade with age.

0
Other commentsSign in to post comments. You don't have an account? Sign up now!

Recent MCQs















Show more MCQs

Recent flashcard sets















Show more flashcards