MEDizzy
MEDizzy
Iqra
Iqraabout 3 years ago
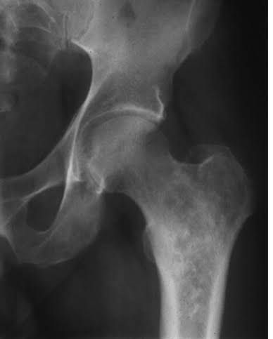
Chondrosarcoma

Chondrosarcoma

Chondrosarcoma is a rare type of cancer that usually begins in the bones, but can sometimes occur in the soft tissue near bones. Chondrosarcoma happens most often in the pelvis, hip and shoulder. More rarely, it can happen in the bones of the spine.

0
Other commentsSign in to post comments. You don't have an account? Sign up now!

Recent MCQs















Show more MCQs

Recent flashcard sets















Show more flashcards