
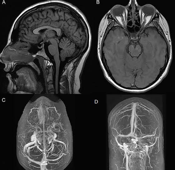
Idiopathic intracranial hypertension (IIH) is a disorder related to high pressure in the brain. It causes signs and symptoms of a brain tumor. It is also sometimes called pseudotumor cerebri or benign intracranial hypertension. The fluid that surrounds the spinal cord and brain is called cerebrospinal fluid or CSF.