
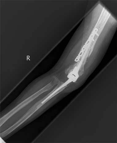
Sideswipe injuries (syn. baby car injuries, traffic elbow injury) are sustained when a patient while travelling in a vehicle with elbow resting on the window is hit by a coming object or a vehicle on the road. 1. These injuries constitute a subgroup of complex elbow trauma.