
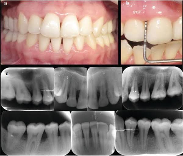
Aggressive periodontitis is a destructive disease characterized by the following: the involvement of multiple teeth with a distinctive pattern of periodontal tissue loss; a high rate of disease progression; an early age of onset; and the absence of systemic diseases.