
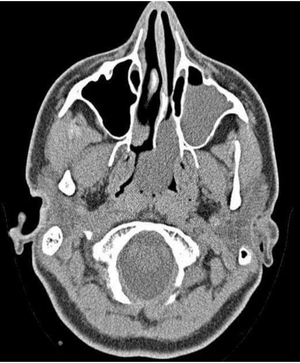
EXCELLENT, Antrochoanal Polyp arising from mucosa of maxillary sinus, growing backward to choana and nasopharynx. Lead to unilateral nasal obstruction
Antrochoanal Polyp arising from mucosa of maxillary sinus, growing backward to choana and nasopharynx. Lead to unilateral nasal obstruction