MEDizzy
MEDizzy
Arif Malik
Arif Malikalmost 6 years ago
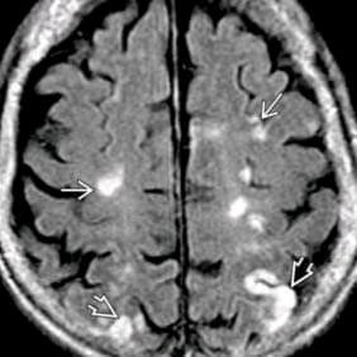
What is your diagnosis?

What is your diagnosis?

22
Top rated comment
almost 6 years ago

MS

almost 6 years ago

Multiple sclerosis

almost 6 years ago

what does that mean?

Other commentsSign in to post comments. You don't have an account? Sign up now!
almost 6 years ago

Infarct of brain

almost 6 years ago

Ischemic infarction.

almost 6 years ago

Thanks 😊

almost 6 years ago

calcification

Recent MCQs

‌
‌

‌
‌

‌
‌

‌
‌

‌
‌
Show more MCQs

Recent flashcard sets

‌
‌

‌
‌

‌
‌

‌
‌

‌
‌
Show more flashcards