MEDizzy
MEDizzy
Peter Dobi
Peter Dobiabout 12 hours ago
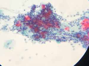
Candidiasis

Candidiasis

Candidiasis often occurs in immunesuppressed women. This is a PAP (Papanicolau) stain, its often used in cytology. Can you see the Candida there?

563
Other commentsSign in to post comments. You don't have an account? Sign up now!

Recent MCQs















Show more MCQs

Recent flashcard sets















Show more flashcards