Feed
Library
Learning
Discuss
Leaderboard
Journal
Sign in
Login
Sign up
Sign in
Feed
Library
Learning
Discuss
Leaderboard
Journal
Zunaira saleh
about 1 year ago
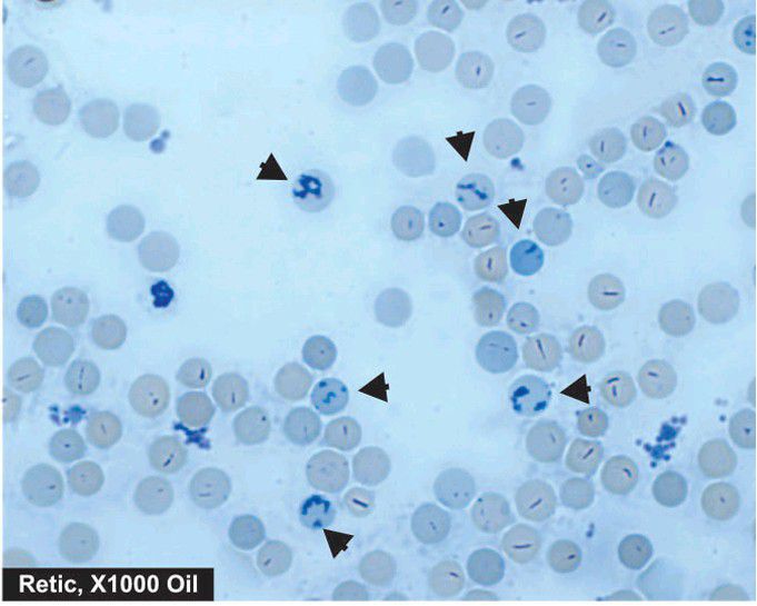
Reticulocytes
Reticulocytes in blood as seen in blood stained by supravital dye, new methylene blue.
Blood
Stain
Reticulocytes
0
0
0
Other comments
Sign in
to post comments. You don't have an account?
Sign up now!
Related posts
What are anticoagulants in haematology
Drreza hasanzad
Blood clot
Carbondioxide transport
Cardondioxide transport
Components of Blood
Blood Circulation in Humans
Tetracycline pigmentation
Dental plaque
Haemophilia
Recent MCQs
Show more MCQs
Recent flashcard sets
Show more flashcards
Feed
Learn
Add
Search
Discuss