MEDizzy
MEDizzy
Aniket Ranjan
Aniket Ranjan over 6 years ago
Diagnosis

Diagnosis

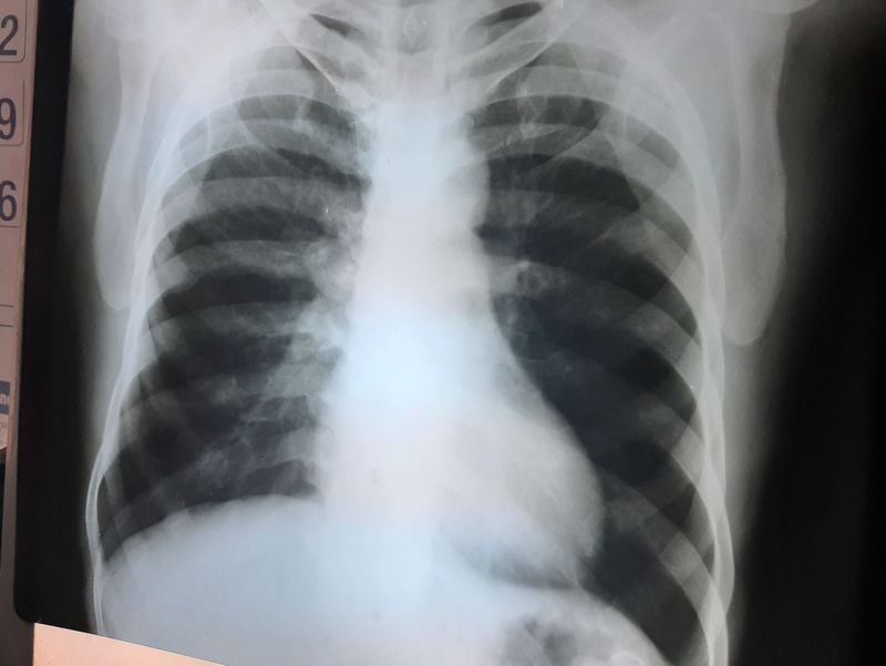
43 year old male having complaint of splitting blood since 2 days

6
Other commentsSign in to post comments. You don't have an account? Sign up now!
over 6 years ago

May be cardiac asthma

over 6 years ago

Right hilar lesion , unilateral hilar lymphadenopathy ???!!

Recent MCQs















Show more MCQs

Recent flashcard sets















Show more flashcards