
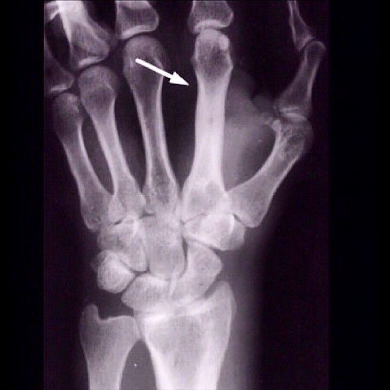
Plain-film radiograph showing osteomyelitis of the second metacarpal (arrow). Periosteal elevation, cortical disruption and medullary involvement are present. In general, osteomyelitis must extend at least 1 cm and compromise 30 to 50% of bone mineral content to produce noticeable changes in plain radiographs.Osteomyelitis means bone infection, mainly caused by bacteria (Staph aureus, E. Coli, etc).It can happen due to an injury to the bone (contagious osteomyelitis) or infection via bloodstream (hematogenous). The treatment of this condition depends on the severity, antibiotics are used in any case, and amputation done in rare cases if the blood supply to the bone is severely reduced.