
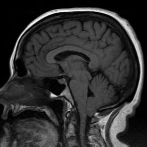
The 17 year old who was having occipital headaches, loss of balance, memory loss, tingling in hands and arms and fainting was diagnosed with Chairi Malformation type 1 or Arnold Chairi Malformation. A condition in which the brain tissue extends into the spinal canal. Can be present at birth or develop as the person grows. Treatment usually consists of Laminectomy or Decompressive craniectomy or monitoring.