Feed
Library
Learning
Discuss
Leaderboard
Journal
Sign in
Login
Sign up
Sign in
Feed
Library
Learning
Discuss
Leaderboard
Journal
Zunaira saleh
3 months ago
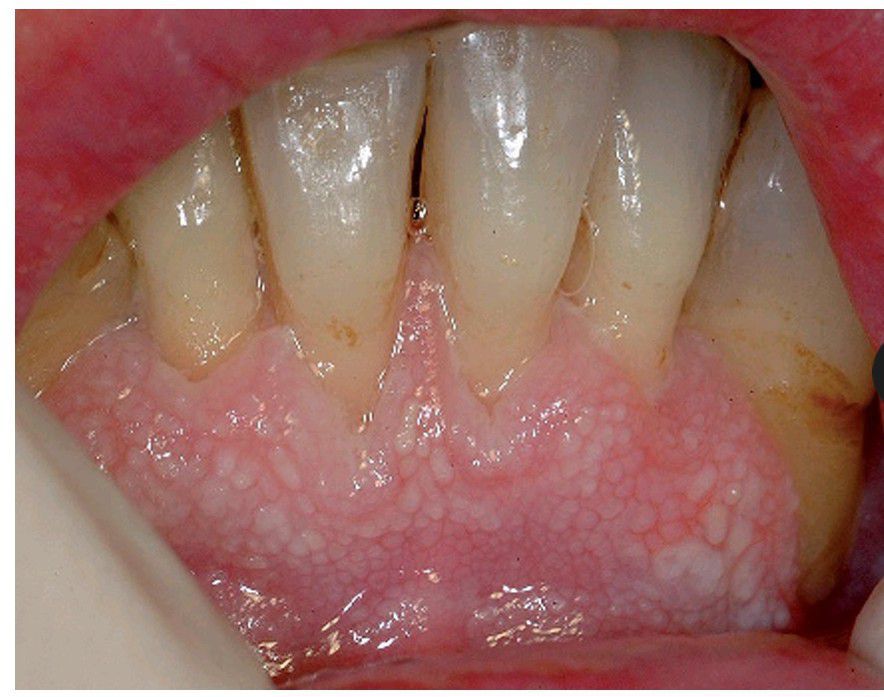
Speckled leukoplakia
Speckled leukoplakia: often a potentially malignant lesion
Medizzy
Leukoplakia
Speckled
0
0
1
Other comments
Sign in
to post comments. You don't have an account?
Sign up now!
Related posts
Sjögrens syndrome
Symptoms of Sjögrens syndrome
Symptoms of Sjögrens syndrome
Auriscope
Mast cell after exposure to allergen
Mast cell after further exposure to allergen
Nasal polyp
Severe upper airway obstruction
Leukoplakia- Causes and Risk Factors
Gelatine Sculpt | Official Website
Recent MCQs
Show more MCQs
Recent flashcard sets
Show more flashcards
Feed
Learn
Add
Search
Discuss