MEDizzy
MEDizzy
Zunaira saleh
Zunaira salehabout 3 hours ago
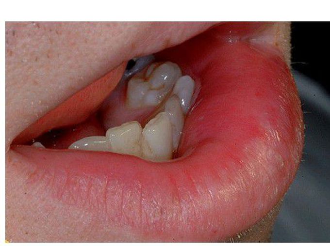
Granulomatous cheilitis

Granulomatous cheilitis

Cheilitis granulomatosa presents with: • chronic non-tender swelling and enlargement of one or both lips

0
Other commentsSign in to post comments. You don't have an account? Sign up now!

Recent MCQs















Show more MCQs

Recent flashcard sets















Show more flashcards