Feed
Library
Learning
Discuss
Leaderboard
Journal
Sign in
Login
Sign up
Sign in
Feed
Library
Learning
Discuss
Leaderboard
Journal
San562
almost 2 years ago
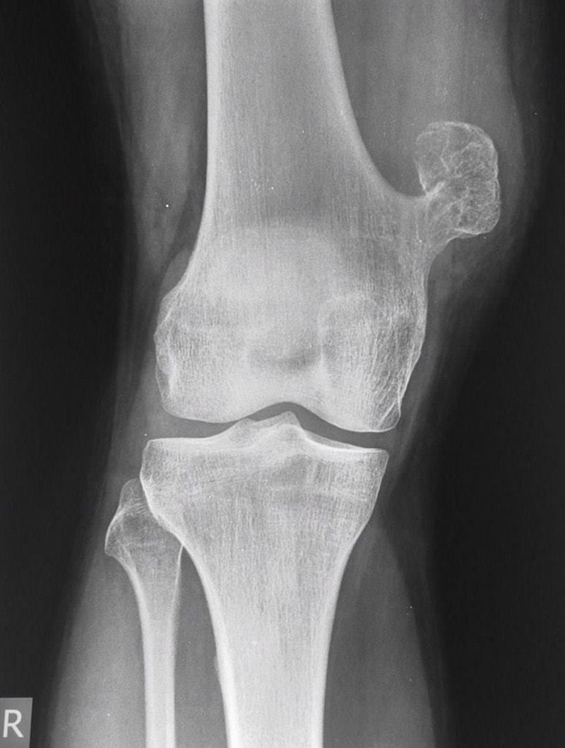
Osteochondroma
Orthopedics
Exostosis
Bonetumors
Distalfemur
30
0
18
Other comments
Sign in
to post comments. You don't have an account?
Sign up now!
Related posts
Mandibular tori
Buccal exostosis
Buccal exostosis
Exostosis
Exostosis
Palatal exostosis and torus palatinus
Reactive subpontine exostosis
What are osteoarthritis surgical treatment methods? I know that one of them and probably the most common one is endoprosthesis, but are there any others?
Removal of buccal exostosis
Removal of palatal bony exostosis
Recent MCQs
Show more MCQs
Recent flashcard sets
Show more flashcards
Feed
Learn
Add
Search
Discuss