Feed
Library
Learning
Discuss
Leaderboard
Journal
Sign in
Login
Sign up
Sign in
Feed
Library
Learning
Discuss
Leaderboard
Journal
Zunaira saleh
over 1 year ago
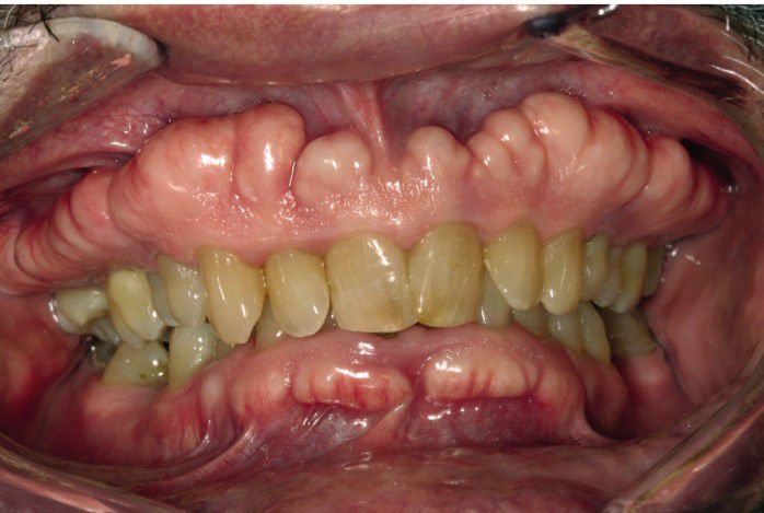
Exostosis
Multiple buccal exostoses of the maxillary and mandibular alveolar ridges.
Medizzy
Oralpathology
Exostosis
0
0
0
Other comments
Sign in
to post comments. You don't have an account?
Sign up now!
Related posts
Bony ankylosis
Etiology of tmj ankylosis
Condylectomy
Tmj ankylosis
Symptoms of dengue
Hepatitis
Root canal treatment of canine
Modes of inheritance
Collapse of the left upper lobe of lung
Rheumatoid disease
Recent MCQs
Show more MCQs
Recent flashcard sets
Show more flashcards
Feed
Learn
Add
Search
Discuss