Feed
Library
Learning
Discuss
Leaderboard
Journal
Sign in
Login
Sign up
Sign in
Feed
Library
Learning
Discuss
Leaderboard
Journal
Zunaira saleh
over 1 year ago
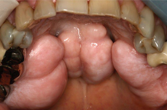
Palatal exostosis and torus palatinus
Massive bilateral palatal exostoses in a patient with a large palatal torus.
Palate
Torus
Exostosis
0
0
0
Other comments
Sign in
to post comments. You don't have an account?
Sign up now!
Related posts
Removal of buccal exostosis
Removal of palatal bony exostosis
Removal of a palatal torus
Palatal torus removal
Removal of mandibular tori
Removal of mandibular tori
Removal of mandibular tori
Cleft palate
Cleft lip and palate.
Mandibular Tori
Recent MCQs
Show more MCQs
Recent flashcard sets
Show more flashcards
Feed
Learn
Add
Search
Discuss