MEDizzy
MEDizzy
Farid_khateri
Farid_khaterialmost 7 years ago
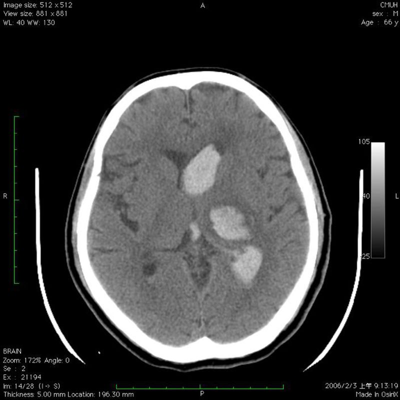
What's your diagnosis?!

What's your diagnosis?!

1.Epidural hematoma 2.subdural hematoma 3.Intra cranial hemorrhage(ICH)

19
Other commentsSign in to post comments. You don't have an account? Sign up now!
almost 7 years ago

3

almost 7 years ago

3 mainly from circle of willis

almost 7 years ago

3

almost 7 years ago

Intracranial haemorrhage

almost 7 years ago

ICH

almost 7 years ago

3

almost 7 years ago

ICH

over 6 years ago

ICH

over 6 years ago

IVH

almost 6 years ago

ICH

12

Recent MCQs















Show more MCQs

Recent flashcard sets















Show more flashcards