
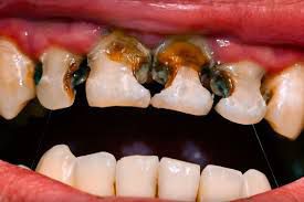
Sugar significantly harms teeth by contributing to tooth decay, or cavities. When consumed, sugar interacts with bacteria in the mouth, producing acids that erode tooth enamel, leading to cavities. Prolonged exposure to sugar can also increase the risk of gum disease and tooth loss. Here's a more detailed breakdown of how sugar affects teeth: 1. Acid Production: Bacteria in the mouth ferment sugar and carbohydrates, producing acids. These acids erode the enamel, the hard outer layer of the tooth, causing demineralization (loss of minerals like calcium and phosphate). Demineralization weakens the enamel and makes teeth more susceptible to decay. 2. Plaque Formation: Sugar is a food source for bacteria, which build up on teeth to form plaque. Plaque can become acidic and further damage enamel. Over time, plaque can harden into tartar, which can lead to gum disease. 3. Cavity Development: When acids produced by bacteria erode enamel, it creates small holes or defects on the tooth surface, known as cavities. If cavities are left untreated, they can progress to deeper layers of the tooth, causing pain, infection, and even tooth loss. 4. Gum Disease: Sugar can also contribute to gum disease (gingivitis and periodontitis) by attracting bacteria that cause inflammation and damage to the gums and bone. Gum disease can lead to tooth loss and potentially other systemic health problems. 5. Tooth Sensitivity: Acid erosion of enamel can expose the dentin, the layer beneath enamel, making teeth sensitive to hot, cold, and sweet things. 6. Other Oral Health Problems: In addition to cavities and gum disease, sugar can also contribute to bad breath and tooth discoloration.