MEDizzy
MEDizzy
Farid_khateri
Farid_khateriover 6 years ago
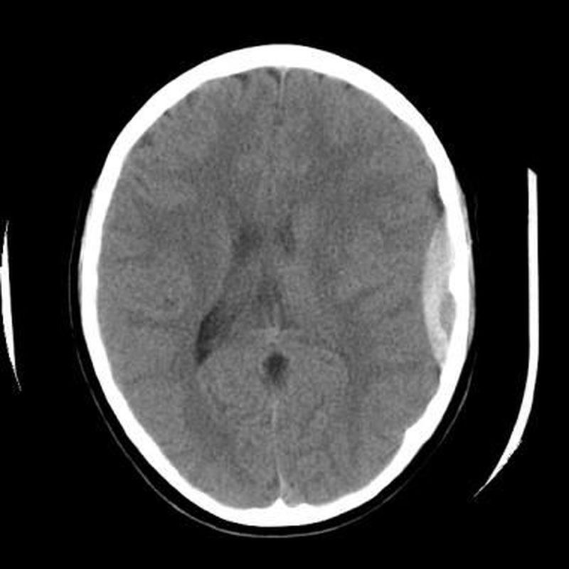
What's your diagnosis?!

What's your diagnosis?!

1.subdural hematoma 2.epidural hematoma

24
Other commentsSign in to post comments. You don't have an account? Sign up now!
over 6 years ago

٢

over 6 years ago

Epidural

over 6 years ago

Epidural hematoma

over 6 years ago

SDH

over 6 years ago

No!

over 6 years ago

Epidural hematoma.... Cresent shape and not cross skull suture it happen mainly from middle maningeal artery

over 6 years ago

Epidural hematoma

over 6 years ago

Epidural

over 6 years ago

sdh

over 6 years ago

No

over 6 years ago

Eipdural

over 6 years ago

Epidural

12

Recent MCQs















Show more MCQs

Recent flashcard sets















Show more flashcards