MEDizzy
MEDizzy
Dr. Barbora
Dr. Barboraalmost 8 years ago
Diagnosis

Diagnosis

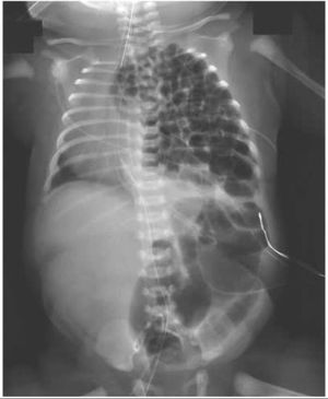
#SURGERY This female infant was delivered by planned cesarean section at 36 weeks of gestation. What is the most likely prenatal diagnosis? A. Duodenal atresia B. Intussusception C. Hirschsprung's disease D. Congenital diaphragmatic hernia

34
Top rated comment
almost 8 years ago

Can anyone explain what's happening here?

Other commentsSign in to post comments. You don't have an account? Sign up now!
almost 8 years ago

Congenital diaphramatic hernia

almost 8 years ago

Diaphragmatic hernia

almost 8 years ago

What’s the pathology here ?

almost 8 years ago

A diaphragmatic hernia occurs when one or more of your abdominal organs move upward into your chest through a defect (opening) in the diaphragm. This kind of defect can be present at birth or acquired later in life. It’s always a medical emergency and requires prompt surgery to correct

almost 8 years ago

Diaphragmatic hernia

almost 8 years ago

Congenital diaphragmatic hernia

almost 8 years ago

Hernia diafragmatica congénita

almost 8 years ago

D

almost 8 years ago

Congenital Diaphragmatic hernia

almost 8 years ago

D

12

Recent MCQs















Show more MCQs

Recent flashcard sets















Show more flashcards