
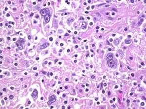
1.Follicular lymphoma 2.mantle cell lymphoma 3.burkitt lymphoma 4.Hodgkin lymphoma We can see reed Sternberg cell in this lymphoma!
Hodgkin lymphoma...reed and sternberg cells are seen...Reed and Sternberg rediscovered the findings of Hodgkin and the contribution of Hodgkin was known after his death and so it was named as Hodgkin's lymphoma