MEDizzy
MEDizzy
Farid_khateri
Farid_khaterialmost 7 years ago
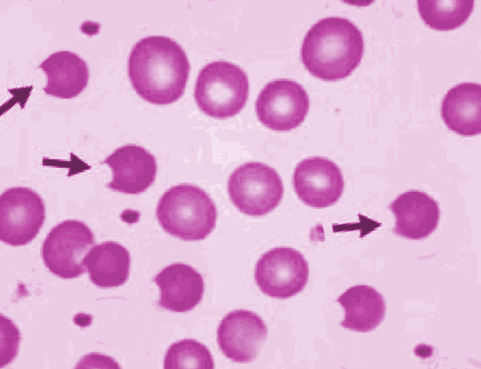
In which hemolytic anemia we see the «bite cell»??

In which hemolytic anemia we see the «bite cell»??

1.G6PD 2.Microangiopathic anemia 3. Hereditary Spherocytosis 4.PNH

14
Top rated comment
almost 7 years ago

1. G6PD

Other commentsSign in to post comments. You don't have an account? Sign up now!
almost 7 years ago

1. G6PD

almost 7 years ago

1✅

almost 7 years ago

1

almost 7 years ago

Glucose-6-phosphat-Dehydrogenase

almost 7 years ago

1

Recent MCQs















Show more MCQs

Recent flashcard sets















Show more flashcards