MEDizzy
MEDizzy
Dr Vijay Sharma
Dr Vijay Sharma almost 7 years ago
What are you

What are you

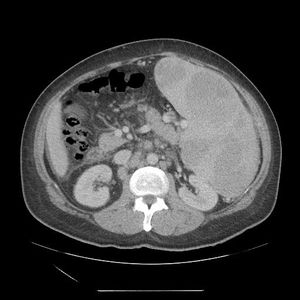
Please diagnosis

10
Other commentsSign in to post comments. You don't have an account? Sign up now!
almost 7 years ago

Massive enlargement of spleen.Rule out CML, chronic malaria, kala azar, etc.

almost 7 years ago

All right cll patient

Recent MCQs















Show more MCQs

Recent flashcard sets















Show more flashcards