MEDizzy
MEDizzy
Zunaira saleh
Zunaira saleh9 months ago
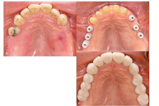
Restoration of bilateral posterior edentulous maxilla

Restoration of bilateral posterior edentulous maxilla

. (A) Pretreatment view. (B) Six zirconia abutments in place for two three-unit fixed partial dentures and five natural teeth prepared for individual all-ceramic crowns. (C) Final restorations in place.

0
Other commentsSign in to post comments. You don't have an account? Sign up now!

Recent MCQs















Show more MCQs

Recent flashcard sets















Show more flashcards