
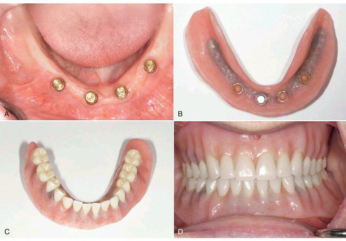
Implant and prosthetic treatment of the edentulous mandible with implant- and soft tissuesupported overdenture. (A) Four implants with locator attachments in place for an implant-retained overdenture. (B–C) The overdenture is reinforced with a cast metal framework. (D) The completed maxillary conventional denture opposed by a mandibular locator-retained overdenture.