MEDizzy
MEDizzy
Zunaira saleh
Zunaira saleh9 months ago
Implant uncovering

Implant uncovering

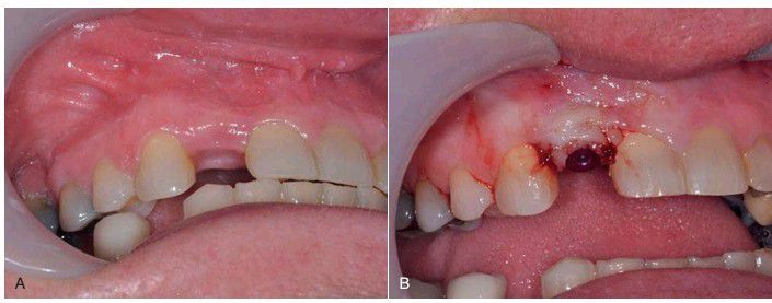
Second-stage exposure of implant with a small tissue flap. (A) Prior to uncovering. (B) After small flap elevation, the tissue is recontoured and sutured to maintain adequate keratinized tissue around the implant.

0
Other commentsSign in to post comments. You don't have an account? Sign up now!

Recent MCQs















Show more MCQs

Recent flashcard sets















Show more flashcards