MEDizzy
MEDizzy
Sheeza Basharat
Sheeza Basharatabout 1 year ago
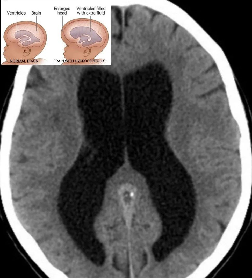
Hydrocephalus

Hydrocephalus

Hydrocephalus is a condition in which cerebrospinal fluid builds up within the brain, which can cause pressure to increase in the skull. Symptoms may vary according to age. Headaches and double vision are common.

0
Other commentsSign in to post comments. You don't have an account? Sign up now!

Recent MCQs















Show more MCQs

Recent flashcard sets















Show more flashcards