
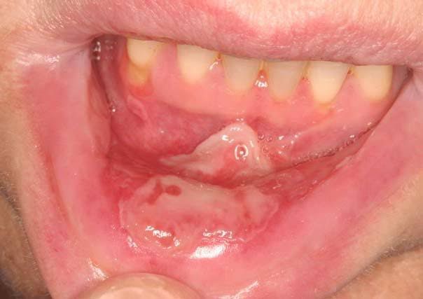
Mucositis is inflammation of the mucous membranes in the mouth and other parts of the body. Symptoms include: Mouth sores: Painful ulcers or blisters in the mouth Pain: Pain in the mouth, throat, or gums Difficulty swallowing: Painful swallowing or difficulty swallowing Dry mouth: Dry mouth or lips Bad breath: Bad breath White or red patches: White or red patches in the mouth Thick saliva: Thick and sticky saliva Bleeding: Bleeding from the gums or bottom Diarrhea: Frequent, watery stools Loss of appetite: Loss of appetite Fatigue: Fatigue