MEDizzy
MEDizzy
Zunaira saleh
Zunaira salehabout 1 year ago
Restoration of root surface lesions

Restoration of root surface lesions

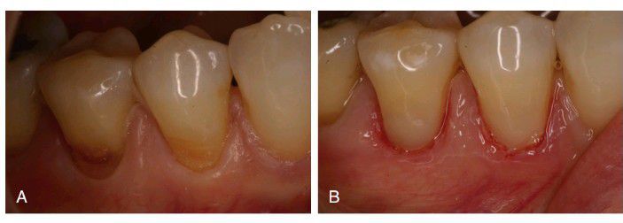
surface lesions. A, Abrasion/erosion lesions on the facial surface of mandibular premolars. B, Restorations with resin-modified glass ionomer cement and composite.

0
Other commentsSign in to post comments. You don't have an account? Sign up now!

Recent MCQs















Show more MCQs

Recent flashcard sets















Show more flashcards