MEDizzy
MEDizzy
Zunaira saleh
Zunaira saleh6 months ago
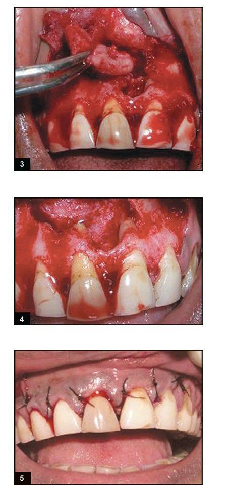
Surgical process for apicoectomy

Surgical process for apicoectomy

Bony window widened and cystic lesion enucleation is being carried out. (4) All the apices of three anterior teeth involved in the lesion are exposed for apicoectomy procedure. (Root canal filling is done prior to surgery). (5) Suturing

0
Other commentsSign in to post comments. You don't have an account? Sign up now!

Recent MCQs















Show more MCQs

Recent flashcard sets















Show more flashcards