MEDizzy
MEDizzy
Zunaira saleh
Zunaira salehabout 1 year ago
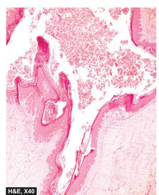
Epidermal inclusion cyst.

Epidermal inclusion cyst.

The cyst wall is composed of all layers of the epidermis and has laminated layers of keratin towards the lumen of the cyst.

0
Other commentsSign in to post comments. You don't have an account? Sign up now!

Recent MCQs















Show more MCQs

Recent flashcard sets















Show more flashcards